自動計測AIの革新
2026-04-03 07:31:58

免疫組織化学の新時代!自動計測AIがKi-67陽性細胞率を変革

メドメインが実現した新たなAI技術



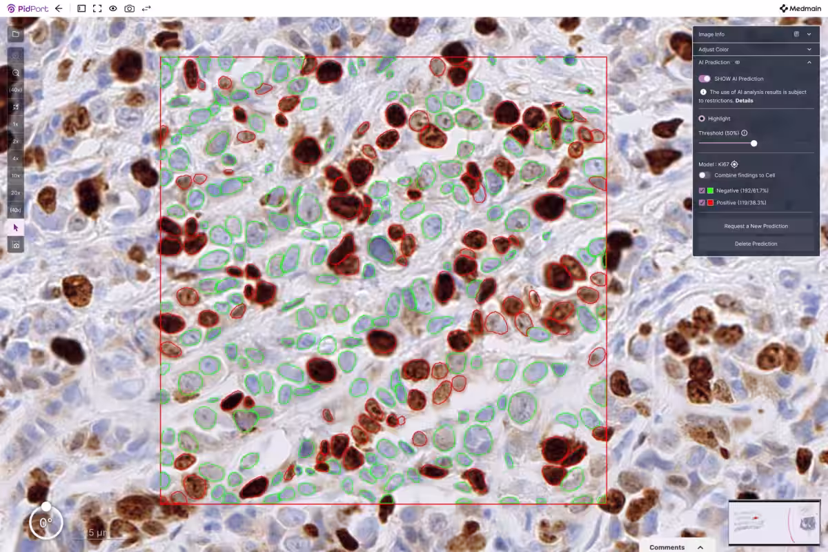
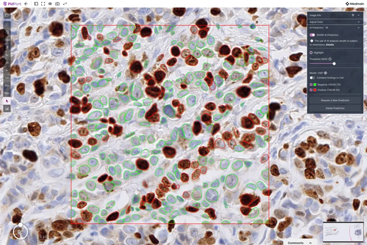
メドメイン株式会社は、このたび免疫組織化学デジタル標本にて、Ki-67陽性細胞数を自動的に計測できるAIを開発しました。これは、病理医が腫瘍の増殖能を評価するために重要な手法であり、従来は時間と手間がかかる作業でした。

Ki-67とは?



Ki-67は細胞増殖の指標として知られるタンパク質で、細胞周期のあらゆる段階で発現し、静止期では見られません。そのため、腫瘍の増殖能力を示す重要なマーカーとして、特に乳がんや脳腫瘍、軟部腫瘍などでは日常的に利用されています。

従来の手法の限界



従来の方法では、医師が手動で細胞を数える必要があり、500から1000個の細胞をカウントするために多くの時間と労力が必要です。このため、より効率的かつ客観的な計測方法が強く求められていました。

新たに開発されたAIモデル



メドメインのAIモデルは、320枚のKi-67染色標本をデジタル化し、細胞の個別アノテーションを行うことで学習を進めました。このモデルは、細胞核を検出し、陽性細胞と陰性細胞を自動的に識別し、そのデータに基づいて陽性細胞率を算出することが可能です。

高い精度と相関



開発されたAIは、ROC-AUC 0.981という高い分類性能を記録しました。さらに、AIが算出した陽性細胞率は、病理医の評価結果と高い相関を示し、本ツールが病理医の診断を補助する有用な手段であることが明らかになりました。

今後の応用可能性



今後は、Ki-67に加えて他の核内タンパク質の自動計測も視野に入れた研究開発が期待されます。核や膜タンパク質の定量的評価を可能にするAI技術の進展が、多くの医療場面での活躍を予見させます。

まとめ



メドメインのAIは、免疫組織化学の新たな可能性を切り開くものであり、診断の効率化に寄与する重要な技術です。この研究成果は、今後の医療において新たなスタンダードとなることが期待されています。

原著論文


この研究結果は、MDPIのDiagnosticsに掲載されており、詳しい内容は以下のURLでご覧いただけます。
論文リンク

会社概要


メドメイン株式会社は、医療ソフトウェアの開発を手掛ける企業です。東京オフィスは、南青山に位置しており、福岡市とシリコンバレーにも拠点を持っています。詳細情報はこちらからご確認ください。


画像1

画像2

関連リンク

サードペディア百科事典: AI メドメイン Ki-67

トピックス(その他)

【記事の利用について】

タイトルと記事文章は、記事のあるページにリンクを張っていただければ、無料で利用できます。
※画像は、利用できませんのでご注意ください。

【リンクついて】

リンクフリーです。